SAĞLIK // 4 Kasım 2017 Cumartesi 10:18 // Güncelleme: 4 Kasım 2017 Cumartesi 10:18
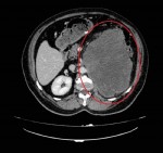
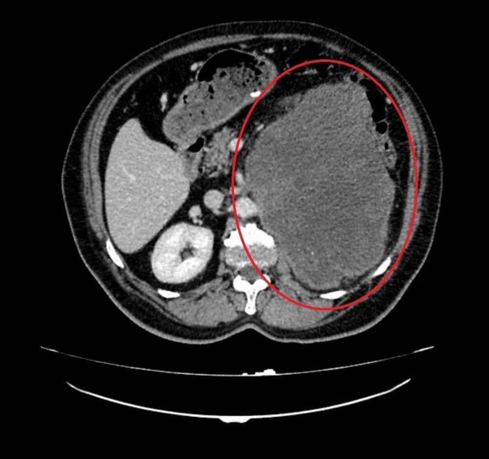
Ondokuz Mayıs Üniversitesi(OMÜ) Tıp Fakültesi Hastanesinde böbrekten çıkarılan 20 santim boyutundaki kitle, dünyada böbrekte ikinci kez rastlanan kötü huylu tümör (miksofibrosarkom) olarak literatüre geçti.

Samsun’da 62 yaşında erkek hasta sol yan ağrısı ve karın şişliği şikayetleri ile OMÜ Tıp Fakültesi Hastanesi Üroloji Kliniğine başvurdu. Hastanın yapılan muayene ve tetkikleri sonucunda böbreğinde 20 santim boyutunda tümör tespit edildi. Başarılı bir ameliyatla çıkarılan kitlenin patoloji sonucu miksofibrosarkom olarak saptandı. Normalde kol ve bacaktaki yumuşak dokulardan kaynaklanan bu tümör türünün böbrekte görülmesine oldukça şaşırdıklarını belirten OMÜ Tıp Fakültesi Üroloji Anabilim Dalı Öğretim Üyesi Doç. Dr. Berkan Reşorlu, olgularını 2015 yılında İspanya’da görülen vakanın ardından dünyada görülen ikinci vaka olarak ürolojinin prestijli dergilerinden birinde yayınlattıklarını belirtti.
"Böbrekten kaynaklanmasını beklemiyorduk"
Yapılan operasyon ve hasta hakkında bilgi veren Doç. Dr. Berkan Reşorlu, "Hastamız sol yan ağrısı ve karında şişlik şikayeti ile bize başvuran 62 yaşında bir erkekti. Yaptığımız muayene ve radyolojik görüntülemeler sonucunda sol böbrekten kaynaklanan 20 santim boyutunda bir kitle olduğunu tespit ettik. Bunun üzerine hastayı ameliyata alarak, başarılı bir operasyonla böbrekle birlikte kitleyi çıkardık. Çıkardığımız kitlenin patoloji sonucu sıklıkla kol ve bacaktaki yumuşak dokulardan kaynaklanan ’miksofibrosarkom’ dediğimiz kötü huylu bir tümör olarak geldi. Böyle bir tümörün böbrekten kaynaklanmasını beklemiyorduk. Literatürü araştırdığımızda böbrekten kaynaklanan tek ’miksofibrosarkom’ vakasının 2015 yılında İspanya’dan bildirildiğini gördük. Bunun üzerine bizde olgumuzu hızlı bir şekilde ürolojinin prestijli dergilerinden birinde yayınlattık ve dünyada görülen ikinci vaka olarak literatüre kazandırdık. Hastamızın kitlesi oldukça büyük, çevre organlara yapışık ve ana damarları tamamen sarmış durumdaydı. Oldukça riskli ve zor bir ameliyatın ardından bu kitleyi çıkartarak kemoterapi tedavisine başladık ve şu an hastamızı yakın takip altında tutuyoruz. Böbrek tümörleri, ürolojide prostat ve mesane kanserlerinin ardından en sık izlenen 3. kanser türü ve son yıllarda görülme sıklığı tüm dünyada artıyor. Tüm kanserlerde olduğu gibi bunlarda da erken tanı oldukça önemli. Ancak bu kanser türü sıklıkla tesadüfen saptanıyor. Çünkü hastaların ancak yüzde 10-15’lik kısmında idrardan kan gelmesi, karında şişlik ya da yan ağrısı gibi şikayetlere yol açıyor. Kendilerinde bu tip belirtiler izleyen hastaların vakit kaybetmeden bir üroloji uzmanına başvurmasını öneriyoruz" dedi.
"Patoloji sonucu bizi oldukça şaşırttı"
Hastadan çıkarılan kitlenin oldukça büyük, çevre organ ve dokulara yapışık ve ana damarları tamamen sarmış olduğunu belirten Dr. Reşorlu, daha önce de bu tip kitleleri çıkardıklarını ancak patoloji sonucunun miksofibrosarkom olarak gelmesinin kendilerini de oldukça şaşırttığını sözlerine ekledi.